
🧑🏻💻 : API 문서 수정했습니다 확인 부탁드립니다~를 하지 않아도 되는 이유, Swagger

귀찮은 배포 과정을 한 번의 노력으로 모두 생략할 수 있다! 설정에 꼭 필요한 내용만 담은 CI/CD pipeline 구축 방법

CI/CD 파이프라인 구축을 해놨던 내가 이세계에서는 말하는 감자? 그 사람이 바로 나야🙋🏻

S3? 그게 뭔데 날 힘들게 해. 기술 따윈 나를 힘들게 할 수 없어!

NuSMV 너..테스트 케이스도 자동으로 추출해주고..너..진짜 마음에 든다. 내꺼해라.

네? HTTPS를 적용해달라고요? 그게 뭔데. 그거 어떻게 하는건데. ELB와 NginX를 활용한 HTTPS 적용 방법의 모든 것.

제목은.... 다중 데이터베이스 설정...으로 하겠습니다. 근데 이제 Spring을 곁들인.

전 백엔드 개발자니까 네트워크도 잘해야 한다고요? 그건 편견입니다. 워크 스테이션에서 포트 열고 배포하는 100가지 방법(중 하나)
나 Spring으로 정적 리소스 접근 구현하는데 이미 지원해주는거임? 커스텀도?

다중 조건 검색이요? 아뇨 없어요. 아니 그냥 없어요. 동적 정렬요? 그것도 없어요. 없다니까요.

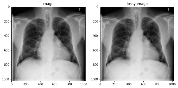
DICOM? 야 너두 할 수 있어

비동기? 아뇨 들어본 적 없어요. 없다니까요. ㅎㅏ..........사실 있어요.........🥹