
CT나 MRI와 같은 의료 영상은 사람의 체내 장기를 관찰하고 질병을 진단하기 위해 영상 분석이 필수적으로 요구된다. 특히 체내 장기 중 췌장은 크기가 작고 다른 장기와 연결되어 탐지 난이도가 매우 높다.따라서 이 논문에서는 다양한 패치 크기의 U-Net 구조를 다중

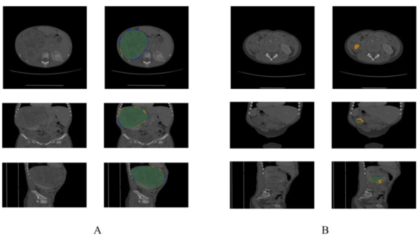
윌름스 종양(WT)의 방사선적 체적 평가는 치료 결정을 안내하는 중요한 지표이다. 그러나 종양의 이질성으로 인해 방사선과 의사는 진단에 있어 주요 보호자 차이가 있으며, 이는 잘못된 진단과 열악한 치료로 이어질 수 있다. 이 연구의 목적은 딥러닝을 사용하여 CT 기반

Person Re-ID 목표는 중복되지 않는 여러 카메라에서 특정 인물을 식별하는 것이다. 본 논문에서는 closed-world setting과 open-world setting으로 나누어 설명한다.Closed-world setting은 3가지 deep feature